Clinica ALESS MEDICAL oferă tratamente specializate de fizioterapie
Clinica ALESS MEDICAL oferă tratamente specializate de fizioterapie pentru dureri la nivelul coloanei vertebrale, mâinilor sau picioarelor. Pacienții beneficiază de diagnostic precis și tratament medicamentos, alături de o echipă profesionistă, dinamică și mereu orientată către nevoile fiecărui pacient. Vă așteptăm să redescoperiți sănătatea și confortul în mișcare!
Daca suferiti de dureri la nivelul coloanei vertebrale, mâinilor sau picioarelor vă aşteptăm la Clinica ALESS MEDICAL pentru diagnostic şi tratament medicamentos şi de fizioterapie adecvat.
La Clinica ALESS MEDICAL diagnosticăm si tratăm pacienti cu:
– suferinte ale coloanei vertebrale (hernii de disc cervicale, lombare) si ale aparatului locomotor dupa fracturi sau interventii ortopedice.
– afectiuni osteoarticulare degenerative (gonartroza, coxartroza, spondiloza)
– afectiuni periarticulare (epicondilite, tendinite, tenosinovite, bursite, rupturi ligamentare sau musculare),
– probleme reumatologice (guta, poliartrita reumatoida, spondilita, osteoporoza)
– patologii neurologice (pareze, neuropatii, sdr de tunel carpian, tarsian)
Pentru tratamentul suferintelor pacientilor avem la dispozitie o gama completa de investigatii, mioace terpeutice gama de servicii medicale disponibile:
- Consultatii si Ecografii musculoscheletale
- Infiltratii Ecoghidate intrarticulare, periarticulare, intramusculare cu:
- a) acid hialuronic
- b) preparate cortizonice
- c) PRP
- D) ACRS
- d) toxina botulinica
- Proceduri de fizioterapie
Curenti joasa frecventa – TENS, Galvanic, Trabert, Diadinamici, Microcurenti.
Curenti medie frecventa- Interferentiali, Kotz.
Ultrasunet
Laser
Magnetoterapie
TERAPIE TECAR
Drenaj limfatic
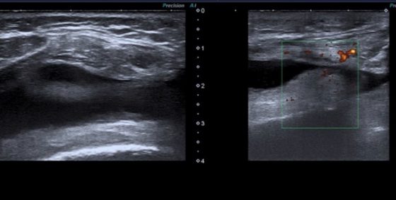
Ecografie Musculoscheletala la Clinica AlessMedical
Ecografia musculoscheletala este investigatia imagistică ce foloseste ultrasunetele pentru a vizualiza: articulatiile, muschii, tendoanele, ligamentele, bursele, oasele, cartilajul, nervii sau vasele de sange.
Examinarea ecografica este utila pentru medicul clinician in diagnosticul pacientilor cu afectiuni articulare, periarticulare sau musculare
Examinarea este sigura, nedureroasa, si poate fi repetata pentru a monitoriza evolutia leziunilor pacientului.
Beneficiul ecografiei musculoscheletale pe langa confirmarea diagnosticului, il reprezinta ecoghidare punctiilor, astfel medicul putand injecta medicamente cu precizie la nivelul structurilor anatomice.
Decelarea leziunilor anatomice permite aplicarea tintita a procedurilor de fizioterapie cu rezultate maximale pentru pacient.
Serviciile medicale sunt furnizate de o echipa profesionista, dinamica, si orientata permanent catre pacient formata din:
– Dr. Dragomir Maria Mirabela – recuperare medicală competenţă ecografie musculoscheletală
– As. Garoafa Iulia
– As. Ene Katalin
– As. Gheorghe Mihaela
Vă așteptăm să redescoperiți sănătatea și confortul în mișcare!
ALESS MEDICAL– strada Nicolae Bălănescu, nr.48, Giurgiu, telefon 0722.646.462.


















