Get Adobe Flash player
+37
°
C
+38°
+23°
Giurgiu
, 22
+39°+24°
+39°+23°
+37°+21°
+39°+23°
+38°+21°
+39°+21°
Prognoză pe 7 zile

Arhive

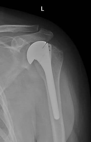
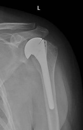
Încă o premieră medicală la Spitalul Județean de Urgență Giurgiu!

Un tânăr giurgiuvean diagnosticat cu necroză a capului humeral,în luna noiembrie 2023, a primit șansa la o viață normală, după implantarea unei proteze de umăr în cadrul serviciului de ortopedie și traumatologie.

Este de menționat faptul că acest tip de intervenție chirurgicală se face doar într-un număr limitat de unități medicale din Romania.

La doar două luni de la intervenție, tânărul este recuperat în proporție de 80%.

Îi urăm multă sănătate și recuperare ușoară în continuare!

Advertisement

Arhive